SEÇÕES

Mulher descobre agulha no cérebro e causa pode estar atrelada a história de fome

Notícia se tornou viral internacionalmente e causa pode estar atrelada a Segunda Guerra Mundial

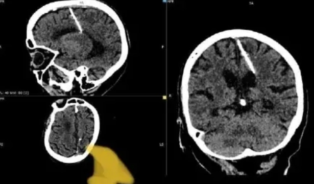
A senhora de 80 anos, nasceu no final da década de 1930 e tomou conhecimento de sua condição por meio de um exame de tomografia | Foto: Reprodução: Internet
Siga-nos no

Uma notícia está causando grande comoção na Rússia, após a descoberta de uma agulha de três centímetros no cérebro de uma idosa russa, com 80 anos de idade. A notícia rapidamente se tornou viral, com as especulações acercando a origem do objeto, proporcionando uma viagem intrigante pela história russa.

A senhora de 80 anos, nasceu no final da década de 1930 e tomou conhecimento de sua condição por meio de um exame de tomografia. A época de nascimento da idosa foi marcada pela extrema escassez de alimentos, ocasionada pela Segunda Guerra Mundial, o que, segundo especulações, teria levado seus pais a realizar uma tentativa de infanticídio logo após o seu nascimento.

“Estes casos de infanticídio não eram incomuns no período da grande fome”, afirmou o departamento de saúde da região de Sakhalin em um comunicado no Telegram. Esta afirmação, somada à descoberta da agulha no cérebro da idosa, conduz a uma sombria mas provável explicação para a sua presença.

Como a agulha poderia ter acabado no cérebro da idosa?

De acordo com os médicos responsáveis pelo diagnóstico da idosa, a agulha teria sido inserida em seu cérebro através de sua moleira, um espaço macio e flexível presente no topo do crânio dos bebês. Este espaço é preenchido por ossos sólidos à medida que a criança cresce, o que pode explicar a falta de qualquer cicatriz óbvia. Por essa razão, suspeita-se que a agulha tenha sido colocada quando ela ainda era um bebê.

O que acontecerá agora?

Apesar do choque inicial, os médicos decidiram não remover a agulha, dada a idade avançada da paciente e os riscos potenciais envolvidos na cirurgia. Até o momento, o objeto não parece ter interferido em nada na saúde ou desenvolvimento mental da idosa. Essa situação serve como uma lembrança constante do passado trágico da Rússia e da força incrível dessa mulher idosa que, inconscientemente, manteve uma agulha em seu cérebro por décadas.

Tópicos
Carregue mais
Veja Também