SEÇÕES

Aos 40 anos, homem é o primeiro do mundo a fraturar o pênis verticalmente

Homem sofreu o ferimento quando seu pênis bateu contra o períneo de sua parceira.

Acidente | Foto: British Medical Journal
Siga-nos no

Publicado no British Medical Journal em 10 de junho traz detalhes de como um homem de 40 anos machucou gravemente o pênis durante uma relação sexual e os médicos britânicos reportaram que pode ser o primeiro caso documentado de fratura vertical do pênis. 

Segundo autores do relatório, o homem sofreu o ferimento quando seu pênis bateu contra o períneo de sua parceira, que é uma área entre o ânus e os genitais, provocando uma espécie de "dobra".

As fraturas penianas ocorrem quando o pênis "escapa" durante a penetração e se choca contra uma superfície mais dura, curvando-se excessivamente, o que leva a um aumento da pressão interna. Isso pode causar um "rasgo" na estrutura do órgão.

Relatório

Cerca de 88,5% desse tipo de lesão ocorre durante o sexo, segundo o relatório. O documento cita um estudo que revelou que as posições estilo "cachorrinho" (de quatro) e "homem por cima" eram as duas principais causas. Desde 1924, 1.600 casos foram registrados em todo o mundo - cerca de 16 ocorrências por ano.

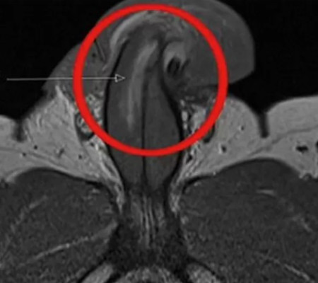
Imagem revela ruptura vertical (British Medical Journal)

Uma fratura de pênis não é exatamente uma fratura no sentido mais comum da palavra, já que não existem ossos no pênis. Ela consiste numa espécie de "rasgo" ao longo da túnica albugínea, uma bainha fibrosa que envolve os três tubos principais dentro do pênis.

Esses tubos são dois corpos cavernosos, que se enchem de sangue durante a ereção; e a uretra, que atua como um canal para a urina e o sêmen.

Perda de ereção

Quando os homens relatam uma fratura do pênis, eles costumam descrever um ruído de estalo, além da perda imediata de ereção, inchaço e hematomas.

No entanto, no caso do homem cujo pênis foi fraturado verticalmente, os médicos disseram que ele não relatou nenhuma sensação de estalo, perda gradual da ereção ou inchaço moderado. Após uma ressonância magnética, um cirurgião confirmou que ele sofreu uma ruptura vertical de três centímetros no pênis.

O relatório, assinado pelo médico do NHS, Serviço Nacional de Saúde do Reino Unido, Sam Hughes, além de outros colaboradores, atesta que todas as fraturas já descritas pela literatura médica são transversais e não verticais, o que comprova a raridade do caso.

Os médicos agora estão monitorando a recuperação do paciente para compará-la a outros casos documentados. Seis meses após a lesão, ele foi capaz de fazer sexo novamente e conseguiu obter uma ereção tão boa quanto antes. O relatório, porém, não dá detalhes sobre o tratamento recebido pelo paciente.

Tópicos
Carregue mais
Veja Também