SEÇÕES

Chinês tenta se coçar com perfume e frasco entra no ânus da vítima

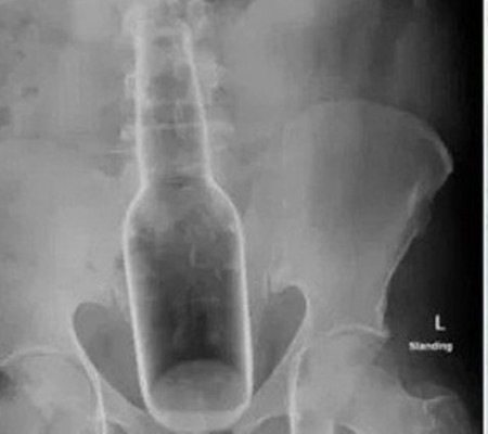
O hospital liberou imagens do caso como um alerta à população.

| Foto: Reprodução
Siga-nos no

Um chinês de 60 anos sofreu um acidente com um vidro de perfume. Segundo ele, tudo aconteceu quando "tentava se coçar". O frasco acabou entrando pelo ânus do homem. As informações são do Extra.

Inicialmente, o homem foi a um pronto-socorro em Guangdong (Chona) reclamando de dores abdominais. Porém um exame de imagem revelou a presença do vidro de perfume, que media 18 centímetros de comprimento e 5 centímetros de largura, e originário da Flórida (EUA).

O paciente foi submetido a uma cirurgia, contou o "Metro". O hospital liberou imagens do caso como um alerta à população.

"O vidro inteiro estava no reto do paciente. Eu podia senti-la tocando o abdômen. Ele comentou que o seu ânus estava coçando", contou Lin Jun, médico que realizou o procedimento.

Tópicos
Carregue mais
Veja Também