SEÇÕES

Homem retira saco de maconha 18 anos após escondê-lo no seu nariz

O caso só foi descoberto após o homem se queixar de severas dores de cabeça

|
Siga-nos no

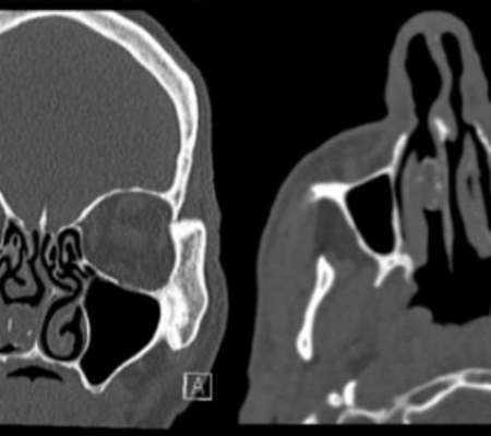
Um homem de 48 anos passou por cirurgia para retirar um pequeno balão de borracha cheio de maconha de dentro do nariz 18 anos após escondê-lo no local para não ser pego em uma revista policial.

A maconha foi entregue ao homem, que está em uma prisão na Austrália, pela namorada dele em um dia de visitação. O caso só foi descoberto após o homem se queixar de severas dores de cabeça e passar por uma ressonância magnética.

A ressonância, publicada pelo Jornal Britânico de Medicina, detectou uma massa de 1,9 por 1,1 centímetros. Quando os médicos fizeram o procedimento  cirúrgico que retirou a massa do local, eles perceberam que aquilo se tratava de um pequeno saco de maconha.

Quando questionado pelo hospital ele lembrou que tinha colocado a droga no nariz, mas afirmou ter pensado que tinha engolido ela acidentalmente e não ter mais pensado nisso. Aos médicos, ele disse ter um “longo histórico de problemas como sinusite”.                  

British Medical Case Reports / Divulgação

Tópicos
Carregue mais
Veja Também