SEÇÕES

Imagem de feto durante tomografia assusta e viraliza na internet

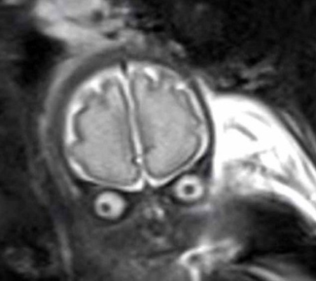
Para os pais, o filho mais se parecia com um E.T do que um feto.

| Foto: Reprodução
Siga-nos no

Imagens de bebês em tomografias costumam ser das mais diversas. Entretanto, um novo bebê está deixando todo mundo confuso. Dessa vez, o resultado de uma tomografia fez muita gente acreditar que o feto se parece com um E.T. As informações são do IG.

Os médicos que estavam acompanhando a gravidez dessa mãe, Laura, identificaram uma quantidade preocupante de liquido no cérebro do bebê, Lucas, e pediram que ela fizesse uma tomografia para que pudessem analisar melhor o caso.

Crédito: Reprodução

O responsável pelo exame avisou Laura e seu marido que eles não veriam a criança como nas tradicionais imagens 2D de outros exames. No entanto, eles não esperavam que veriam dessa forma. De acordo com o canal do YouTube Inside Edition, os pais ficaram em estado de choque, mas, depois, se divertiram com o que viram.  

Para os pais, o filho mais se parecia com um E.T do que um feto. Apesar do susto, a imagem da tomografia trouxe uma notícia boa a eles: estava tudo bem com o menino. Laura e o marido contam que a imagem trouxe o alívio e a calma que estavam precisando naquele momento.

Tópicos
Veja Também