SEÇÕES

Covid pode permanecer no espermatozoide por até 110 dias após infecção

Publicado na revista Andrology, o estudo alerta para um período de “quarentena” para quem deseja ter filhos após a infecção.

Ver Resumo
Vírus SARS-CoV-2 detectado em espermatozoides até 90 dias após alta hospitalar, afetando a fertilidade. Espermatozoides produzem "armadilhas extracelulares" de DNA para neutralizar o vírus, uma resposta imunológica inédita. Recomendação de adiar a concepção natural e as técnicas de reprodução assistida por seis meses após a infecção por COVID-19.
Covid pode permanecer no espermatozoide por até 110 dias após infecção | Foto: Imagem: Reprodução
Siga-nos no

Pesquisadores da USP descobriram que o vírus SARS-CoV-2, o da Covid, pode estar presente nos espermatozoides até 90 dias após a alta hospitalar e 110 dias após a infecção inicial.

Publicado na revista Andrology, o estudo alerta para um período de “quarentena” para quem deseja ter filhos após a infecção.

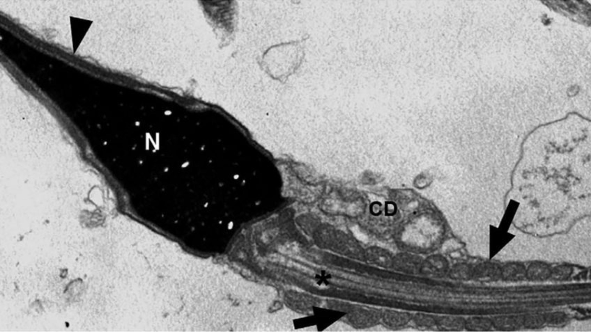
Impacto no Sistema Reprodutivo: A pesquisa analisou espermatozoides de 13 homens que tiveram COVID-19. Em 72,7% dos casos moderados a graves, o vírus foi detectado nos espermatozoides até 90 dias após a alta. No total, 69,2% dos pacientes apresentaram o vírus intracelularmente.

Mecanismo Imunológico: Os espermatozoides mostraram produzir “armadilhas extracelulares” baseadas em DNA para neutralizar o vírus, uma função imunológica inédita para essas células.

Implicações para Reprodução: Os pesquisadores recomendam adiar a concepção natural e técnicas de reprodução assistida por seis meses após a infecção, mesmo em casos leves.

Contexto e Estudos Relacionados: O grupo da USP já havia identificado a vulnerabilidade masculina à COVID-19 devido aos receptores ACE2 nos testículos e o impacto negativo da pandemia na saúde sexual dos profissionais de saúde.

Efeitos Tardios: Atualmente, o grupo avalia os efeitos prolongados da COVID-19 em mais de 700 pacientes, com apoio da Fapesp.

Tópicos

VER COMENTÁRIOS

Carregue mais
Veja Também