SEÇÕES

Empresário de Parnaíba é internado em estado grave em Teresina

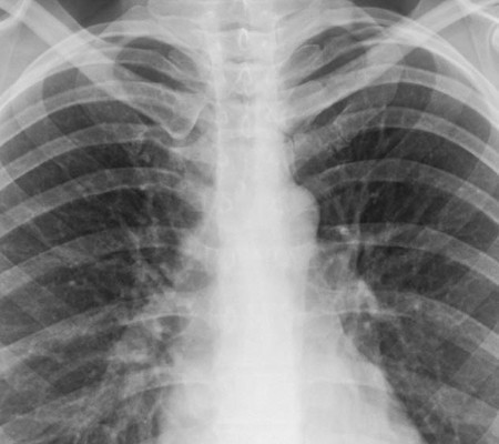
Segundo assessoria, o proprietário da Delta Laticínios, encontra-se em tratamento de uma grave pneumonia pelo vírus Influenza H1N1.

|
Siga-nos no

O empresário natural de Minas Gerais, mas que mora em Parnaíba, Oderman Bittencourt, proprietário da Delta Laticínios, está encontra-se em Teresina em tratamento de uma grave pneumonia pelo vírus Influenza H1N1. Por meio de nota, a assessoria do empresário informou ainda que o mesmo está reagindo bem ao tratamento e que logo retornará as suas atividades, esclarecendo que os exames médicos testaram negativo para  infecção por Coronavírus (Covid-19).

“Informamos e reiteramos ainda que toda a família Delta Laticínios tem compromisso com  a qualidade, a pontualidade e a tradição dos nossos produtos. Estamos todos em oração pela recuperação da saúde do nosso Diretor”, comunica a nota.

A nota foi divulgada após se levantar a suspeita de que o empresário estaria com Covid-19, pois se encontrou recentemente com o prefeito de São José do Divino, Antônio Nonato Lima Gomes, conhecido como Antônio Felicia (PT), que testou positivo para o novo Coronavírus. Os resultados foram liberados neste sábado (28) pelo Laboratório Central do Estado (Lacen) e informados pela Secretaria de Estado da Saúde.

Geólogo apresenta sintomas de coronavírus em Campo Maior

O empresário geólogo Maurício Melo, de tradicional família de Campo Maior está internado em estado grave com quadro sugestivo ao diagnóstico de Covid-19, doença provocada pelo novo coronavírus. 

De acordo com informações de familiares, Maurício passou por uma cirurgia complexa recentemente e já estava bastante debilitado e agora começou a apresentar sintomas como dificuldade de respirar, que indicam o diagnóstico de coronavírus.

Tópicos
Carregue mais
Veja Também